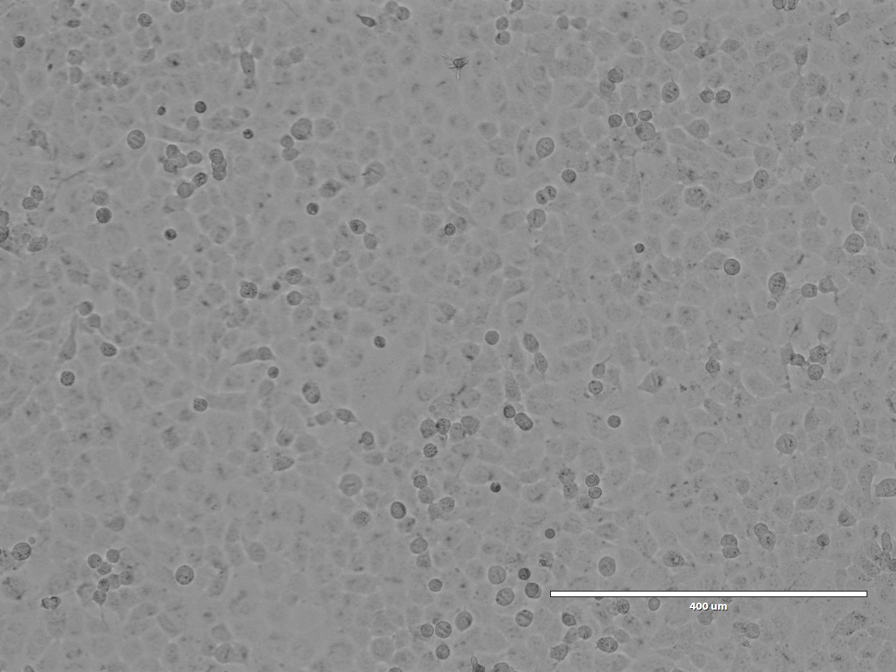
NCI-H1299(人非小细胞肺癌细胞)细胞来源于一个淋巴结转移,患者接受了初期放疗。NCI-H1299细胞均一性的部分缺失p53蛋白,并缺少p53蛋白表达。NCI-H1299细胞可以合成0.1pmol/毫克蛋白的NMB蛋白,而不合成促胃液释放肽(GRP)。
| 细胞别称 | H1299; H-1299; NCIH1299 |
| 细胞来源 | 肺癌:非小细胞肺癌;转移灶:淋巴结 |
| 细胞形态 | 上皮细胞样 |
| 细胞类型 | 肿瘤细胞 |
| 生长特性 | 贴壁细胞 |
| 安全等级 | BSL1 |
| 包装规格 | T25瓶或者1mL冻存管包装 |
| 倍增时间 | 2~3天 |
| 传代比例 | 1:2-1:4(具体情况视细胞生长速度及密度决定) |
| 保藏机构 | ATCC; CRL-5803 |
【培养保存】
培养体系:RPMI-1640+10% FBS+1% P/S
培养条件:气相:空气,95%;CO2,5%;温度:37℃
冻存条件:基础培养基+10%DMSO+20%FBS,液氮保存
【传代步骤】
当细胞密度达80%-90%,即可进行传代培养。
【冻存步骤】





