A549细胞是由D·J·Griad通过肺癌组织移植培养建系,源自于一位58岁白人男性;A549能通过胞苷二磷酸胆碱途径合成含有高含量不饱和脂肪酸的卵磷脂。
细胞别称 | A549 |
细胞来源 | 人肺腺癌细胞 |
细胞形态 | 上皮细胞样 |
细胞类型 | 肿瘤细胞 |
生长特性 | 贴壁细胞 |
安全等级 | BSL2 |
包装规格 | T25 瓶或者 1mL 冻存管包装 |
倍增时间 | 2~3 天 |
传代比例 | 1:2-1:4(具体情况视细胞生长速度及密度决定) |
保藏机构 | ATCC; CCL-70 ECACC; 87032605 |
【培养保存】
培养体系:DMEM+10%FBS+1%PS
培养条件:气相:空气,95%;CO2,5%;温度:37℃
冻存条件:基础培养基+10%DMSO+20%FBS,液氮保存
当细胞密度达 80%-90%,即可进行传代培养。
1. 弃去培养上清,用不含钙、镁离子的 PBS 润洗细胞 1-2 次;
2. 加 1ml 消化液于培养瓶中,置于 37℃培养箱中消化 2-4 分钟,然后在显微镜下观察细胞消化情况,若细胞大部分变圆并脱落,迅速拿回操作台,轻敲几下培养瓶后加胰酶 3 倍体积的培养基终止消化;
3. 用巴氏管轻轻打匀后吸出,在 1000RPM 条件下离心 5 分钟,弃去上清液,加入培养液后吹匀;
4. 收到细胞后首次传代推荐将细胞悬液按 1:2 的比例分到新的含 6ml 培养基的新皿中或者瓶中,建议存一支备用,后续传代根据实际情况按 1:2 到 1:4 的比例进行。
1. 细胞冻存时,弃去培养基后,PBS 清洗一遍后加入 1ml 胰酶,细胞变圆脱落后,加入 3ml 含血清的培养基终止消化,可使用血球计数板计数;
2. 5min 1000rpm 离心去掉上清。加 1ml 血清重悬细胞,根据细胞数量加入血清和 DMSO,轻轻混匀, DMSO 终浓度为 10%,细胞密度不低于 1x10(6)/ml,每支冻存管冻存 1ml 细胞悬液,注意冻存管做好标识;
3. 将冻存管置于程序降温盒中,放入-80 度冰箱,至少 2 个小时以后转入液氮灌储存。记录冻存管位置以便下次拿取。
1. 收到细后,先确认瓶口密封情况,有无漏液等现象,不要打开瓶盖,将其放入培养箱 2-3h 小时后再拿出来,贴壁细胞吸掉全部运输培养基,换自己配置的新鲜培养基;这时瓶盖可松开,待细胞汇合度达到 70-80%,就可传代;如果收货时细胞密度已达 70%-80%,可直接传代。建议初始传代条件为 T25培养瓶 1:2 传代,为了降低细胞被污染的风险,前期不要使用培养皿,逐批冻存留种后再用皿去做实验。
2. 边观察边消化,根据细胞的形态,终止消化时间,采取以半分钟间隔吹打细胞边缘。如可吹打下来,即终止消化。客户摸索最佳消化时间。比较难养的细胞,在使用 1ml 胰酶终止消化后可以不离心,直接分瓶。细胞的生长有密度的依赖性,前期分瓶不要过稀。
3. 请加 1%双抗,降低细胞被污染的概率。另外尽早逐批冻存留种,以备后用。
4. 用 10%进口胎牛血清,刚收到细胞时,胎牛血清可以用 15%培养两三天,利于细胞尽快恢复状态,细胞状态稳定后,再调至回 10%即可。
5. 公司认为细胞购买者或使用者均具有基本的科研能力和细胞培养经验,售后时间为一周,仅限于细胞本身质量问题,而因甲方自己培养体系或操作导致的细胞状态变差的问题不在售后范畴。
6. 收到细胞后,细胞状态不佳,或培养中遇到问题,烦请当天尽快联系,以便处理。当天及时反馈细胞的情况和细胞图片是售后跟踪处理的重要参考依据,请您务必重视。
1. 收货后如果有短缺、破损,请于当日反馈;试剂类产品质量问题,请在 30 天内反馈,逾期不予受理。
2. 若发现细胞大部分死亡或状态不佳的情况,请在收货后 24h 内反馈;若发现细胞有污染,复苏细胞应。
3. 细胞鉴定异常,60 天内反馈细胞鉴定不对,核实后,可免费退换货
4. 请严格按照说明和注意事项操作,以上期限内及时反馈,提供有效证据,否则不予售后!
T25是用T25细胞培养瓶直接发货的形式。收到细胞后,拆开自封袋,不拆封口膜,75%酒精擦拭瓶身表面消毒,显微镜下观察细胞状态并拍照留存原始镜下图片,T25细胞培养瓶放入37℃培养箱平衡静置2~3h后,常规处理细胞。若细胞密度高于80%,可以按照传代处理(首次传代比例推荐1:2)。
离心管是用15mL离心管发货的形式,仅限于悬浮细胞发货。收到细胞后离心管表面消毒,不用静置,直接用发货的离心管1200rpm,5min离心收集细胞,弃上清,再加入新鲜的培养液,转移CO2培养箱37℃培养。
冻存管干冰发货,收货后移入液氮或-80冰箱保存;细胞复苏取出细胞,用小自封袋装起来,投入水浴锅约3-5分钟,至融化,取出喷酒精,进生物安全柜,取7ml完全培养基装入T25,再将冻存管里的细胞溶液移入T25;将T25移入培养箱,次日换液,继续培养,待密度达到80%传代。
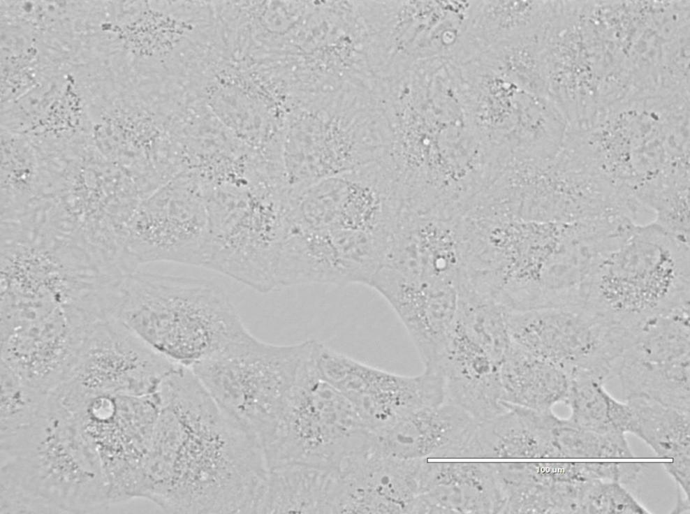
附:细胞照片
低倍镜2张


高倍镜2张

