腺相关病毒(AAV)载体是治疗性基因组编辑的重要递送平台,但受到包装容量的严重限制。同时递送多种载体会限制剂量和疗效,并增加安全风险。本文描述了单载体4.8kb的AAV平台表达Nme2 Cas9的两种用于片段缺失的sgRNA,或具有同源性定向修复(HDR)模板的单个sgRNA。本文还使用CRISPR蛋白来生产通过Nme2 Cas9切割自我失活的载体,进一步介绍了一种基于纳米孔的测序平台,该平台旨在分析rAAV基因组,并作为载体同质性的质量控制措施。证明,通过基于HDR的疾病等位基因校正,可以有效治疗小鼠的两种疾病模型【型遗传性酪氨酸血症(HT-I)和I型粘多糖病(MPS-I)】。这些结果将使单载体AAV的工程化成为可能,从而实现不同的治疗基因组编辑结果。
一、具有同源性定向修复(HDR)模板的单个sgRNA在单载体4.8kb的AAV平台表达Nme2 Cas9。
细菌和古菌的适应性免疫系统被称为聚集的、规则间隔的、短的回文重复序列(CRISPR),以及它们的CRISPR相关蛋白,一直处于RNA引导的基因组工程革命的中心,包括基因组编辑。最广泛采用的CRISPR-Cas基因组编辑平台是Cas9核酸内切酶,它在与设计的单引导RNA(sgRNA)互补的靶DNA序列中产生双链断裂(DSBs)。除了sgRNA外,Cas9还需要原间隔区相邻基序(PAM)的存在,这是一种接近sgRNA互补靶序列的特异性序列。一旦被切割,细胞依靠DNA修复机制通过非同源末端连接(NHEJ)、微同源介导末端连接(MMEJ)或同源定向修复(HDR)来解决这些DSB,后者可以实现广泛的精确确定的修复结果。最广泛使用的Cas9同源物是化脓性链球菌Cas9[SpyCas9,1368个氨基酸(aa)],它表现出强大的编辑效率,并且由于其短的5′-NGG-3′PAM而具有广泛的靶向范围。SpyCas9工程改变或减少PAM需求。
单一的AAV系统,其中SauCas9、两个sgRNA和一个HDR供体被设计成单个>5kb的载体构建体。然而,这项研究使用了一种缺乏VP2亚基的AAV8衣壳,随着包装容量的增加,产生了低的载体滴度。因此,仍然需要使用可以在临床前和临床规模上生产的成熟衣壳与单载体AAV兼容的精确基因组编辑策略。AAV等病毒载体,它作为递送方式具有很大的潜力,但包装容量严重受限(在大多数情况下<5kb)。在Nme2Cas9(5′-NNNCC-3′PAM)的更小的Cas9、高细胞编辑精度和靶向灵活性的基础上,设计了一体式AAV-Nme2Cas9载体系统,其实用性超过了初始版本,该版本仅编码效应子和一种sgRNA。最小化Nme2 Cas9表达盒:其调节元件和sgRNA提供了额外的编码能力,可用于整合第二种sgRNA。验证了双sgRNA系统的特定排列和方向,以确定其被包装到单个AAV载体中的能力。
二、4种缩短的Nme2 Cas9+dual-sgRNA载体
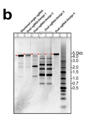
为了设计具有额外功能的单个Nme2 Cas9载体,创建了一个缩短的Nme2 Cas9+sgRNA主链。Nme2 Cas9结构信息和指导要求的经验测试指导下,截断了重复链,以产生两个缩短的121nt和100nt sgRNA(分别为Nme.sgRNA-121和Nme.sgRNA-100)。将截短的引物克隆到先前发表的Nme2 Cas9-AAV主链中。通过将质粒转染到HEK 293T(人类)和Neuro2a(小鼠)细胞中,对CYBB、LOC 100505797和Fah基因组的编辑效率进行比较,结果表明Nme.sgRNA-100部分损害Nme2 Cas9活性,而Nme.sgRNA-121的性能与全长Nme.sgRNA的性能更一致。在同一主链中包含两个sgRNA可能会诱导截短的载体基因组的形成而对这种设计造成重大障碍。因此设计了携带两个不同位置和方向的sgRNA-121盒的AAV:Nme2 Cas9构建体。将这四个主链中的每一个包装到AAV8衣壳中,并分离病毒DNA。

两种设计主要包含全长、非截短的~4.8Kb基因组

基于纳米孔的实时测序平台,测序数据显示,与主要包含从ITR到ITR的全长基因组的双sgRNA:Design 4载体不同,双sgRNA:Design 1产生了高频率的截短基因组。这些截断主要集中在两个位置,第一个定位在sgRNA表达盒上,产生只携带单个sgRNA的载体;第二个位于h Nme2 Cas9转基因的3′端。


为了测试这些构建体诱导节段缺失的功效,设计1和设计4切除跨越Hpd基因外显子3和4的606bp片段的能力。

分析表明,只有当间隔物gRNA-I和gRNA-II共表达时,这两种质粒才能有效地产生预期的节段缺失。
二、注射小鼠,验证AAV效果。
编码肝酶富马酸乙酰乙酸水解酶(Fah)的Fah基因通过在外显子5(Fahneo/neo)中插入新霉素表达盒而被破坏。这种疾病在小鼠中的一个标志是,当小鼠不在补充有药物2-(2-硝基-4-三氟甲基苯甲酰基)-1,3-环己烷二酮(NTBC)的水中维持时,体重会逐渐减轻,NTBC阻断FAH上游的酪氨酸分解代谢途径,防止因FAH损失而导致的肝毒性代谢产物的积累。在NTBC退出前对每组中的一只小鼠以及C57BL/6小鼠进行了编辑评估,在NTBC退出后,Fahneo/neo小鼠被有效地从HT-I的致死表型中拯救出来,3周体重稳定;相反,注射PBS的Fahneo/neo小鼠在NTBC停药后4-13天内体重减轻了10%以上,并被安乐死。在NTBC退出前对每组中的一只小鼠以及C57BL/6小鼠进行了编辑评估,在NTBC退出后,Fahneo/neo小鼠被有效地从HT-I的致死表型中拯救出来,3周体重稳定;相反,注射PBS的Fahneo/neo小鼠在NTBC停药后4-13天内体重减轻了10%以上,并被安乐死。



两种双sgRNA载体设计的Nme2 Cas9在体内成功诱导了节段缺失。
在C57BL/6小鼠中,为了不表现出编辑细胞的选择性增殖,用双sgRNA处理:设计1或4在两个靶位点之间分别产生50.5±8.7%和33.6±6%的节段缺失;在NTBC退出前分析的小鼠表现出33.3%(设计1)和15.8%(设计4)的节段缺失效率。NTBC停药和选择性肝细胞扩增三周后,载体设计1和4分别产生35.7±3.3%和33.2±4%的节段缺失。
除了片段缺失外,在两个靶位点观察到显著频率的小indel。

在C57BL/6小鼠中,以2.8±0.7%(设计1)和2.4±0.8%(设计4)的频率检测到DSB位点的载体片段整合,在NTBC退出前以2.3%(设计1)和1.5%(设计4),NTBC退出后以3.5±0.5%(设计1)和2.7±0.5%(设计4)检测到载体片段整合。
与SMRT测序相比,UDiTaS显示片段缺失的频率较低,但反转和载体整合的频率较高。
