细胞系基因编辑是基因编辑和修饰里面效率最高、最简便、成本最低、最容易上手的技术之一。CRISPR-CAS9是细菌防御病毒的一种手段,病毒作为外来物病毒DNA进入细菌时,它会被加工成更小的片段,可能会被插入细菌基因组的一个被称为CRISPR位点的区域,当该区域被转录时,产物与称为tracrRNA的小RNA结合,将CAS9蛋白和RNA定位到分子上。
每个复合物都由CAS9蛋白、tracrRNA和gRNA组成。这些结构中的crRNA识别并引导CAS9切开病毒DNA。科学家们通过模仿tracrRNA和crRNA的单个RNA分子(gRNA)使用CRISPR-CAS9系统。例如当俩个这样的引导RNA被引入到CAS9的细胞中并且都针对相同的基因时一个序列可以被切除,一旦这个目标区域被移除,切断的末端会发生非同源末端连接(NHEJ)修复或者同源定向修复(HDR)。

一、细胞株基因敲除实验流程:

基因敲除离不开基因编辑系统,在人工构建的CRISPR-CAS9系统载体中,crRNA+tracrRNA融合为一条,称为导向RNA(guide RNA,gRNA),我们常说的gRNA其实就是crisprRNA中识别宿主靶点的序列。

二、双靶点sgRNA敲除细胞株的两种类型
经过编辑的细胞系经挑取单克隆进行培养,发生基因编辑的细胞株基因组切断的末端会发生非同源末端连接(NHEJ)修复或者同源定向修复(HDR)。对于敲出片段的大小不同,会有以下两种情况:
1.移码敲除:敲除的细胞株因NHEJ会在两个sgRNA的切割位置引indels,与野生型未敲除的基因组相比,外显子区域插入或缺失的碱基数为非3整数倍会导致阅读框的移码,导致该基因被敲除。
2.精确的片段敲除:敲除的细胞株在切割位点发生精确切割且无indels引入,也无同源定向修复(HDR),最终基因组切割片段与设计的切割片段完全吻合。
三、双靶点sgRNA基因敲除如何PCR鉴定?
PCR鉴定双靶点sgRNA基因敲除的基本原则是利用基因敲除株基因组与野生型基因组的序列差异,以基因敲除株基因组DNA为模板进行PCR,并以凝胶电泳对比不同基因型特异产物的大小,根据条带大小来初步区分不同基因型。
1:junction引物设计
将引物设计在敲除区域的内外侧,即一条引物位于敲除片段内侧,一条引物位于敲除片段外侧。该对引物可用于敲除细胞株的初步筛选,筛除敲除片段仍然存在的未编辑克隆。较短的敲除片段,例如敲除大小<60bp,NHEJ引入的indels会使得junction引物其中的一条的模板大概率发生改变,从而使得juntion引物无法扩增出目的条带。

2:KO引物设计
将引物设计在敲除区域的上下游外侧,即两条引物位于敲除片段不同外侧。该对引物可用于检测敲除细胞株敲除片段是否被精确敲除。较短的敲除片段,KO片段需经过测序及生信分析得到最终编辑结果。

举例说明:
如上图所示,A基因敲除大小为156 bp,外显子敲除106 bp。
设计的junction引物位于敲除片段内外侧,野生型为模板的junction F/R扩增产物大小为281 bp。
设计的KO引物位于敲除片段两端外侧,野生型为模板的 KO F/R扩增产物大小为426 bp,被敲除的基因组模板为426 bp减去156 bp为270bp。
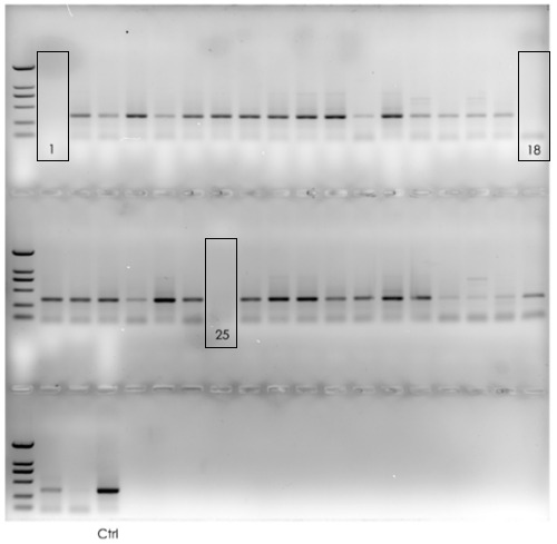
实际检测结果如下图所示:

16号单克隆细胞株Junction引物PCR扩增结果为阴性,表明16号克隆很有可能发生了编辑。

结合KO引物PCR扩增产物琼脂糖凝胶电泳结果判断,16号单克隆细胞株KO引物PCR扩增产物略大于250bp marker,符合敲除后270 bp PCR扩增产物大小,下一步可进行胶回收送测序,进一步确定其基因型。
四、双靶点sgRNA基因敲除PCR鉴定操作步骤
(1)检测敲除的混合克隆样本;
使用按照上述方法设计的引物对基因敲除的细胞系进行混合克隆PCR初步鉴定。
将适量的混合克隆细胞(1~10万个细胞)移入1.5mL的离心管中,8000 rpm/min 离心5min左右,弃掉培养基(此处不应残留培养基),加入约100ul的细胞快速裂解液(GC231000459),吹打均匀。将分散有细胞的裂解液水浴55℃ 30min,95℃ 10min。即可制备出可用于基因敲除PCR鉴定使用的基因组模板。
如果琼脂糖凝胶电泳可以观察到符合敲除后的KO引物扩增大小的条带,则说明此处极大发生了基因编辑,经测序后即可验证即此混合克隆样本中是否发生敲除,如果混合克隆发生了敲除编辑,则可进入下一步单克隆细胞株筛选;如果只有JC扩增产物条带和未敲除的KO引物扩增大小,则说明此处未发生基因编辑或发生编辑细胞在混合克隆样本中的占比极低,即此混合克隆没有敲除效率或挑到相应纯合克隆细胞株的概率极低。

举例说明:
B基因双gRNA敲除片段大小为862 bp,KO引物在未编辑基因组上扩增产物大小为1256bp,使用未编辑的野生型细胞裂解液模板作为KO引物的阳性对照。
如果混合克隆中大量细胞发生了基因编辑,双gRNA编辑的混合克隆裂解液模板的扩增条带大小应为1256bp减去862bp,即394bp。经琼脂糖凝胶电泳观察到符合敲除后KO扩增产物大小的目的条带。
回收目的条带送测后,进一步确定,该条带确为双gRNA发生精确切割后的KO条带,证明混合克隆中发生了大规模的敲除编辑事件。

(2)将有敲除效率的混合克隆做单克隆细胞株筛选并验证。
将上一步有敲除效率的混合克隆用有限稀释法进行单克隆筛选。单克隆细胞株生长至适宜细胞数量即可进行PCR鉴定。单克隆筛选的模板裂解方式和程序可参考混合克隆。
由于在筛选单克隆时存在样本数量较大,操作耗时长等问题,我公司的细胞快速裂解液能够解决这些问题,样本裂解迅速、快捷,制备的样品模板实验结果准确可靠。
首先推荐使用junction引物对单克隆细胞株进行筛选,以排除大量的杂合子和未编辑细胞株。

其次,对Junction引物扩增阴性的单克隆样本再使用KO引物进行扩增。根据敲除片段的大小,以及实际上可能出现的敲除方式进行检测(精确敲除或移码突变)。

举例说明:C基因和D基因的单克隆经juntion引物初筛后,进行juntion引物扩增复检和KO扩增,出现与敲除后KO扩增条带大小吻合的目的条带,这类目的条带即可进行测序检测。

测序结果进行生信分析,结果表明D基因敲除的1号单克隆细胞株为敲除纯合子。
后续也可进行Western Blot进行进一步验证,但Western Blot结果阴性只能作为敲除成功的充分条件而非必要条件。
五、基恩科生物提供基于sgRNA敲除的相关产品
试剂 | 微量细胞裂解液 |
普通PCR MIX | |
Cas9 mRNA | SpCas9 IVT-mRNA |
SaCas9 IVT-mRNA | |
Wild type SpCas9 IVT-mRNA | |
LNP Cas9 | SpCas9 IVT-mRNA LNP |
SaCas9 IVT-mRNA LNP | |
Wild type SpCas9 IVT-mRNA LNP | |
体外sgRNA合成 | IVT-sgRNA |